Die Diagnose Prostatakrebs und die anschließende Prostata-OP sind für viele Männer ein einschneidendes Erlebnis. Obwohl moderne Chirurgie große Fortschritte macht, bleiben mögliche Nebenwirkungen wie Harninkontinenz und Erektionsstörungen eine große Sorge. Doch ihr müsst diese Herausforderungen nicht alleine bewältigen! In der praxis entero in Graz erwartet euch eine wegweisende Physiotherapie, die durch den Einsatz von Echtzeit-Ultraschall-Biofeedback eure Genesung maßgeblich beschleunigen und nachhaltig verbessern kann.
Die Herausforderung nach der Operation: Inkontinenz und Lebensqualität
Eine radikale Prostatektomie, also die vollständige Entfernung der Prostata, ist oft die effektivste Behandlung bei einem lokal begrenzten Prostatakarzinom. Der Eingriff ist jedoch nicht ohne Risiko für die umliegenden Strukturen, insbesondere für das Schließmuskelsystem und die für die Kontinenz und Erektion verantwortlichen Nerven.
Viele Männer erleben nach dem Ziehen des Harnkatheters zunächst eine mehr oder weniger starke Belastungsinkontinenz. Das bedeutet, dass zum Beispiel beim Husten, Niesen, Heben oder sportlichen Aktivitäten Urin verloren geht. Diese Einschränkung der Kontinenz beeinträchtigt die Lebensqualität massiv, schränkt soziale Aktivitäten ein und kann psychisch belasten. Während sich die Beschwerden nach schonenden Operationen in den ersten Wochen und Monaten oft von selbst bessern, sind gezielte Maßnahmen entscheidend, um den Prozess zu beschleunigen und bei vielen Männern aber auch notwendig, um dauerhafte Kontinenz – oder zumindest eine wesentliche Verbesserung – zu erlangen.
Genau hier setzt eine spezialisierte Physiotherapie an, die weit über herkömmliches Beckenbodentraining hinausgeht.
Quelle: praxis enteroDarum ist Physiotherapie vor und nach dem Eingriff unverzichtbar
Ihr fragt euch vielleicht, ob Physiotherapie wirklich einen Unterschied macht. Die Antwort ist ein klares Ja – und das ist wissenschaftlich belegt! Internationale Studien zeigen eindrücklich, dass ein gezieltes Training der Beckenbodenmuskulatur sowohl vor (präoperativ) als auch nach (postoperativ) einer Prostata-Operation die Kontinenzrate signifikant erhöht und die Zeit bis zur vollständigen Wiederherstellung der Kontrolle verkürzt.
Eine wichtige Studie (zum Beispiel die Arbeit von Bø et al. oder Frawley et al. zu Beckenbodentraining und Biofeedback) belegt, dass Männer, die bereits vor dem Eingriff ein präoperatives Beckenbodentraining absolvieren, deutlich schneller ihre Kontinenz wiedererlangen. Der Grund: Das präoperative Training schult das Bewusstsein für die Beckenbodenmuskulatur. Ihr wisst dadurch nach der Operation sofort, welche Muskeln ihr gezielt anspannen sollt, auch wenn das Gefühl durch den Eingriff vorübergehend verändert ist.
Postoperativ belegen Studien, dass Beckenbodentraining, oft in Kombination mit Biofeedback, die Chance, kontinent zu werden, um bis zu 30 Prozent gegenüber einer Gruppe ohne diese Übungen erhöhen kann. Die Muskulatur, die den fehlenden Verschlussmechanismus der entfernten Prostata kompensieren muss, wird so gestärkt und optimiert.
„Viele Männer unterschätzen die Bedeutung des Beckenbodens für ihre Kontinenz. Er ist der unsichtbare Held in dieser Situation. Wir geben ihm mit unserer modernen Therapie die nötige Stärke – und vor allem die Balance zwischen An- und Entspannung – zurück“, erklärt Physiotherapeut Wolfgang Brunner-Fruhmann von der praxis entero.
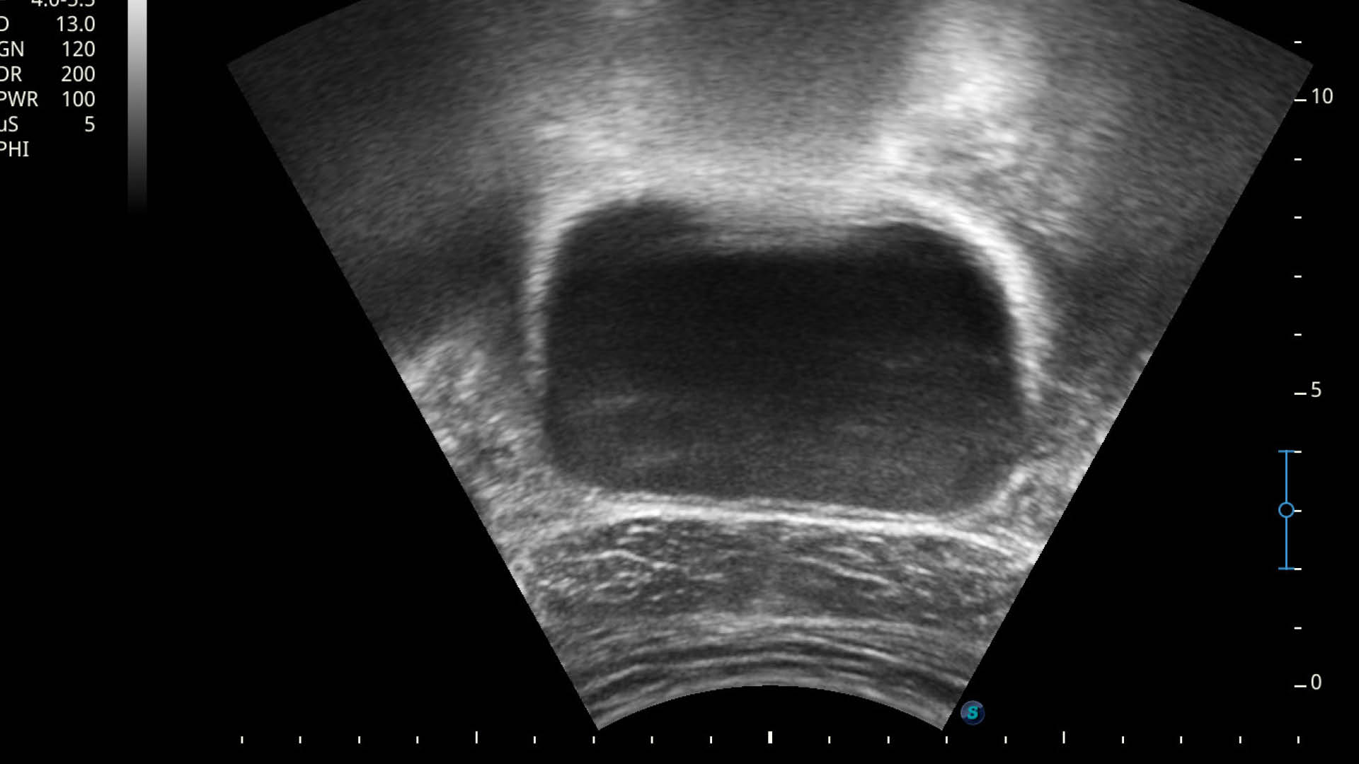
Quelle: praxis enteroProstata-OP: Echtzeit-Ultraschall als Biofeedback in Graz
Während Biofeedback-Methoden wie Druck- oder Oberflächen-Elektromyografie (EMG) schon lange in der Beckenbodentherapie zum Einsatz kommen, setzt die praxis entero in Graz auf einen revolutionären Ansatz: Echtzeit-Ultraschall (EZUS) als Biofeedback-Methode.
Was bedeutet das für euch?
Herkömmliches Beckenbodentraining ist oft frustrierend, weil ihr die Aktivität eurer tiefen Beckenbodenmuskulatur nur schwer spüren und kontrollieren könnt. Ihr wisst nicht genau, ob ihr die richtigen Muskeln anspannt oder ob ihr versehentlich mit anderen Muskeln die gewünscht Aktivität kompensiert. Wodurch das Training weniger effektiv und wirksam wird.
Mit dem Echtzeit-Ultraschall ändert sich das grundlegend:
1. Visuelles Feedback in Echtzeit: Wolfgang Brunner-Fruhmann setzt einen Ultraschallkopf auf euren Damm-Bereich. Auf einem Bildschirm seht ihr live, wie sich die Muskulatur bewegt, wenn ihr den Beckenboden anspannt oder entspannt. Außerdem kann man dabei beobachten, wie sich auch die umliegenden Strukturen, wie zum Beispiel die Harnröhre bewegen und die Position verändern. Ein wesentlicher Faktor für die Kontinenz.
2. Präzision und Korrektur: Ihr erhaltet eine sofortige, visuelle Rückmeldung über die Qualität eurer Muskelaktivierung. Ist die Anspannung korrekt? Haltet ihr die Luft an? Spannt ihr zu stark oder zu schwach an? Kompensiert ihr mit anderen Muskeln? Der Therapeut kann euch sofort korrigieren und ihr seht euren Fortschritt auf dem Bildschirm.
3. Schnellerer Lernerfolg: Die visuelle Darstellung fördert das Körpergefühl und die neurologische Ansteuerung der Muskulatur immens. Was vorher abstrakt war, wird sichtbar. Das Gehirn lernt durch dieses klare Feedback deutlich schneller, die wichtigen Muskeln isoliert und effektiv anzusteuern.
4. Motivation und Kontrolle: Ihr seht eure Erfolge schwarz auf weiß bzw. in Graustufen auf dem Bildschirm. Das ist ein riesiger Motivationsfaktor und gibt euch ein Gefühl der Kontrolle über euren Körper zurück.
„Mit dem Echtzeit-Ultraschall nehmen wir unseren Patienten die Unsicherheit. Sie sehen, wie die tiefen Beckenbodenstrukturen arbeiten. Wir überspringen damit oft langwierige Phasen der reinen Wahrnehmungsschulung und kommen schneller zur effektiven Kräftigung“, betont Wolfgang Brunner-Fruhmann.
Physiotherapie nach Prostata-OP in Graz: Echtzeit-Ultraschall für eure Therapie in der praxis entero
Die Therapie bei Wolfgang Brunner-Fruhmann in der praxis entero ist nicht nur Beckenbodentraining. Sie ist ein individuell abgestimmtes, ganzheitliches Programm, das euch optimal auf die Herausforderungen nach der Prostata-Operation vorbereitet und begleitet:
- Präoperative Phase (idealerweise): Schulung der Beckenbodenwahrnehmung und erste Kräftigungsübungen mit EZUS-Biofeedback. Außerdem erlernt ihr wichtige Verhaltensweisen und Tricks, die ihr nach der OP gut gebrauchen könnt.
- Postoperative Phase: Aufbau des Trainings in mehreren Schritten nach Entfernung des Katheters, beginnend mit sanften Spannungsübungen (geringe Intensität) und schrittweiser Steigerung. Dabei immer unter visueller Kontrolle durch den Echtzeit-Ultraschall.
- Funktionelles Training: Integration der Beckenbodenaktivität in Alltagsbewegungen (z. B. beim Aufstehen, Heben und verschiedenen Sportarten), um die Kontinenz in Belastungssituationen zu gewährleisten.
- Sexualität: Gezielte Übungen können auch die Potenz nach der Operation unterstützen und die Auseinandersetzung mit dem veränderten Körperbild begleiten.
„Es geht nicht nur um die Muskeln. Wir sehen den ganzen Menschen. Unser Ziel ist es, euch nicht nur kontinent, sondern auch körperlich und mental gestärkt zurück in euer aktives Leben zu führen. Die ganzheitliche Betreuung ist uns wichtig“, so Brunner-Fruhmann.
Fasst Mut und handelt jetzt!
Die beste Therapie ist jene, die ihr konsequent und korrekt durchführt. Wartet nicht, bis sich die Inkontinenz verfestigt! Je früher ihr mit einer spezialisierten und modernen Physiotherapie beginnt, desto besser sind eure Aussichten auf eine schnelle und vollständige Wiederherstellung eurer Kontinenz.
Die Kombination aus wissenschaftlich fundiertem Beckenbodentraining, der Expertise des spezialisierten Physiotherapeuten Wolfgang Brunner-Fruhmann und dem hochmodernen Echtzeit-Ultraschall-Biofeedback in der praxis entero in Graz bietet euch einen klaren Wettbewerbsvorteil auf dem Weg zu mehr Lebensqualität und Sicherheit im Alltag.
Der nächste Schritt liegt bei euch: Nehmt Kontakt mit der praxis entero in Graz auf! Ruft uns an oder nutzt das Kontaktformular, um einen Termin für eure spezialisierte Physiotherapie bei Wolfgang Brunner-Fruhmann zu vereinbaren. Lasst uns gemeinsam den Weg zur vollständigen Kontinenz und zu einem unbeschwerten Leben gehen! Eure Gesundheit und euer Wohlbefinden stehen bei uns an erster Stelle.








